세브란스병원 인경과와 신경외과 협업 결과... 파킨슨병 근본적인 치료 기술로 기대

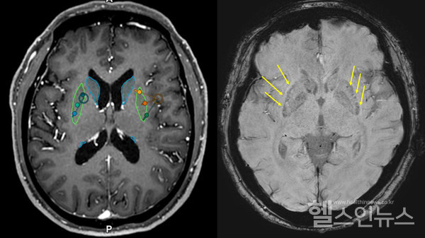
이번 이식은 식품의약품안전처 승인을 받아 세브란스병원 신경외과(연구책임자 장진우 교수)와 신경과(이필휴 교수)가 협업해 진행했다. 이식한 임상시험용 의약품은 인간 배아줄기세포에서 분화시킨 중뇌 도파민 신경전구세포다.
대상은 파킨슨 진단 5년 이상 지났으며 약물 치료를 받았지만 효과가 떨어지거나 이상운동증 등 부작용을 보인 환자다.
저용량, 고용량 각각 3명을 대상으로 투여 완료했으며 용량별로 3명씩 추가 선발해 이식술의 안전성과 효과를 지속적으로 확인한다는 계획이다.

이필휴 교수는 “배아줄기세포 유래 도파민 신경전구세포 이식은 근본적인 파킨슨병 치료법으로 기대하며 안전성과 효과 관찰을 장기간 이어가겠다”고 말했다.
세포치료제 개발자인 연세대 의대 생리학교실 김동욱 교수는 “이번 수술에 앞서 다양한 비임상 기초 실험과 동물 연구에서 치료제의 우수한 효능과 안전성을 확인했다”고 밝혔다.
김지예 기자
press@hinews.co.kr




