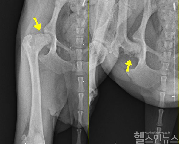
대퇴골은 허벅지에 위치한 가장 큰 뼈인데 상단 끝 머리쪽에 있는 부위를 대퇴골두라고 한다. 대퇴골두는 골반뼈의 관골구에 딱 맞게 들어가 고관절의 자유로운 운동에서의 중심 역할을 하며, 반려동물의 체중을 후지로 전달하는 역할을 한다. 하지만 유전적 요인이나 혈관의 이상으로 인해 대퇴골두로 가는 혈액 공급이 차단되면, 뼈세포가 죽어 결국 괴사에 이르게 된다. 이러한 질환을 대퇴골두허혈성괴사 또는 대퇴골두무혈성괴사라고 부른다.

진단을 받으면 내과적인 치료보다는 외과적 수술이 필요한 경우가 많다. 가장 많이 시행되는 수술 방법은 괴사된 대퇴골두를 제거하여 고관절의 근본적인 통증 원인을 없애는 방법이다. 대퇴골두허혈성괴사는 치료가 늦어질수록 대퇴근육량이 줄어들어 정상 기능 회복에 더 많은 시간을 요구한다. 따라서 반드시 반려견이나 반려묘 보행에 이상이 발견되면 바로 동물병원에 찾아 진단을 받아보는 것이 좋다.
대퇴골두제거수술은 수술 후 관리가 회복에 중요한 역할을 한다. 제거된 대퇴골두의 역할을 주변의 근육과 조직이 대신할 수 있도록 돕는 재활이 필수적이다. 수술 후 1개월까지는 수술 시에 필수적으로 손상이 동반되는 근육의 회복에 독이 될 수 있어 무리한 재활은 피해야 한다. 그 후부터 고관절의 가동 범위를 넓혀가는 물리 치료 및 재활 운동을 시작하는 것이 좋으며 정기적으로 내원하여 회복 과정을 꾸준히 점검하는 것이 필요하다.
반려견에게는 산책, 반려묘에게 사냥놀이는 그들 일상의 중요한 즐거움이다. 이러한 활동을 건강한 상태에서 지속할 수 있도록 하기 위해선 내 반려동물의 이상을 빠르게 알아차리는 것이다. 다행히 대퇴골두허혈성괴사는 조기에 발견해 적절한 치료를 받으면 반려동물의 삶의 질을 크게 개선할 수 있다. 반려동물이 밝고 활기찬 삶을 이어갈 수 있도록 관절 건강에 대한 꾸준한 관심을 가지길 바란다.
(글 : 최동원 플러스동물메디컬센터 원장)
임혜정 기자
press@hinews.co.kr